股関節
股関節診療グループ
- 兼氏 歩 特任教授(診療科長)
 - 日本股関節学会理事/日本人工関節学会理事/日本人工関節学会登録医
 - 市堰 徹 臨床教授
 - 日本股関節学会評議員/日本人工関節学会評議員/日本人工関節学会登録医
 - 高橋詠二 講師
 - 日本股関節学会会員/日本人工関節学会会員/日本人工関節学会登録医
 - 相馬大輔 助教
 - 日本股関節学会会員/日本人工関節学会会員
 - 福井 信 助教
 - 日本股関節学会会員/日本人工関節学会会員
 - 三治雄輔 助教
 - 日本股関節学会会員/日本人工関節学会会員
 - 松本忠美 名誉教授
 - 第34回日本股関節学会会長/元日本股関節学会理事/元日本人工関節学会理事
 
取り扱う疾患
変形性股関節症、寛骨臼(臼蓋)形成不全症、大腿骨頭壊死症、関節リウマチ、急速破壊型股関節症、関節唇損傷、 大腿骨頭すべり症、Femoro-Acetabular Impingement (FAI)などの股関節疾患
行っている手術
- 人工股関節置換術(THA)
 - 人工股関節再置換術
 - 人工骨頭置換術
 - 骨盤骨切り術(低侵襲寛骨臼骨切り術(SPO)など)
 - 大腿骨骨切り術(転子間回転骨切り術、弯曲内反骨切り術、減捻骨切り術など)
 
特徴
ひとりひとりの病態、大腿骨形状、骨質に応じて最適と思われる手術や人工関節を選択しています。骨切りでは全国に先駆けて7cmの皮膚切開と筋肉をほとんど切らない低侵襲な骨盤骨切り(SPO)を行っています。
メッセージ
日本人は生まれつき骨盤の屋根の部分(寛骨臼)の作りが悪い患者さん(寛骨臼形成不全)が多く存在します。軟骨が無くなる前しかできない骨切り術(屋根を作る手術)も行っており、低侵襲骨盤骨切り(SPO)は全国に先駆けて行っており、年間20~25例の手術実績があります。また、全国から多くの股関節外科医が手術見学に訪れています。人工股関節置換術(THA)は年間200名ほどさせていただいております。手術だけでなく、適切なリハビリ指導も行います。股関節のスペシャリストを揃えています。足の付け根の痛みや跛行がある場合、是非一度お越し下さい。
また、足の付け根の痛みや大腿、下腿部の痛みや痺れの原因として仙腸関節障害というものがあります。仙腸関節障害の概念は広く知られておらず、原因不明として扱われている患者さんも多く存在します。診断のつかない足の付け根の痛みなどでお悩みの方は一度、お越し下さい (本ホームページの別記事に記載)。
専門外来診察
兼氏教授、高橋講師は月曜、金曜の午前中が外来診察日です。市堰教授は水曜、金曜の午前中の外来です。相馬助教・福井助教は月曜、水曜の午前中、三治助教は水曜の午前中の外来です。松本名誉教授は金曜午前に再診患者さんの外来を行っています。
https://www.kanazawa-med.ac.jp/~hospital/section/department/orthopedic.html
学会等で不在のことがありますので初診の方はお電話でご確認ください。紹介状を持参いただかないと初診料定額負担金7,700円がかかりますので前医からのご紹介状をご持参いただくかあらかじめFAXで送信いただくことをお勧めします。
また、火・木・土曜外来に股関節専門外来は行っておりません。
後日再診していただく可能性があります。ご了承ください。
股関節疾患に対する当科の方針
股関節は二足歩行をする人間にとって体重を支える非常に重要な関節です。そのため破壊されると歩行に支障を生じるだけでなく、痛みを伴います。私たちは股関節に痛みのない生活を送っていただくことを第一に考えています。
そして、その方の一生を考えて次のような方針で治療をしています。
- 患者さん自身のニーズを最優先し、的確な医学的知識と豊富な治療経験を生かし、最適な治療方針を患者さんと共に決定する。
 - 痛みが少ないうちは手術を勧めない。
 - 自分の骨で治せるならば自分の骨・軟骨で治療する。
 - その方に最適な人工股関節を使用し、安定した長期成績を目指す。
 - 合併症を減らすため厳格な手術手技、リハビリを行う。
 - 再置換(入れ替え)手術において骨回復を目指し、再々手術に備える。
 - 再置換においてもその方に最適な手技や人工関節を選択する。
 - 流行の方法ではなく、これまでの30年以上の経験から得た安定した手技を踏襲する。
 - 最新知見や最新技術において、多くの英語論文、日本語論文で従来法より明らかに優れている方法は採用し、患者さんに還元する。
 - 術後は定期的な診察をさせていただき、一生のおつきあいをさせていただくつもりで診療にあたる。
 
手術
股関節手術件数は北陸地方において最も多く、以下の手術を行っています。
人工股関節置換術(Total Hip Arthroplasty; THA)
股関節の軟骨が消失したり、大腿骨頭の潰れ、変形がひどくなると股関節の痛みが強くなります。この結果として、股関節の動きが悪く、痛みとともに跛行が目立つ患者さんに行う手術です。
THAの手術件数は北陸地方で最も多く、全国でも上位にランクしています。手術前にCTや骨密度の検査を行い、大腿骨、寛骨臼の骨形態や骨の強さを検討し、さまざまな人工股関節ステムを使い分けています。しかし、寛骨臼側は全例セメントレスカップを使用しています。人工軟骨に相当するポリエチレンはクロスリンクポリエチレンを使用しています。当科で行った長期の検討でも従来品と比較し、摩耗は非常に少ないことが判明しました。このため摩耗粉が骨を溶かして破壊してしまう骨溶解現象もほとんど認めず、従来よりも耐久性が向上しています。実際、当科で過去23年間に行った4000例以上の初回手術におけるセメントレスカップはリウマチ患者を含む、2例のみゆるみを認め、再置換を行いましたが、それ以外は生じていません。またポリエチレン摩耗のために入れ替えした症例はありませんでした。つまり95%以上の患者さんは23年入れ替えなく経過していました。
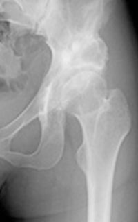
大腿骨に挿入するステムにおいて、現在の日本では骨セメントを使わないセメントレス固定が主流です。ステムと骨の固着が良好であり、その結果長期成績が飛躍的に向上したためです。当科においても約80%の患者さんにはセメントレスステムを用います (図1)。また、その方の大腿骨頚部から骨頭までの長さ、捻れの角度、骨の強さなど総合的に判断し、最適と思われるステムを使い分けしています。その結果、過去23年間に行った患者さんは98%以上の確率でゆるみや感染、脱臼が発生していません。
一方、近年、人工股関節再置換術の理由として近年増加傾向にあるのが骨折と脱臼です。
これは大腿骨の骨密度が低い患者さん(主に高齢者)にセメントステムを使用しているためだと考えられています。高齢者におけるセメントレスステム使用は術後2年以内に大腿骨の骨折などを引き起こしやすいと言われており、その結果再手術の危険性が高くなります。当科では骨密度が低い大腿骨には骨セメントを用いて手術しています。セメントステム使用により、高齢の患者さんでも早期からリハビリを行うやすいように工夫しています。セメントステムの成績はセメントレスステムと遜色ありません(図2)。
また、脱臼が増加している原因としても筋力低下や背骨の変形を伴っている高齢者に対して人工股関節置換術を行うことが増えたためと指摘されています。当科では70歳以上の患者さんに対しては脱臼しにくいデュアルモビリティーカップを人工臼蓋として使用しています。このデュアルモビリティーカップを使用した初回の人工股関節置換術で脱臼を来した患者さんはほとんどいません。さらに、ナビゲーションシステムを用いて正確なカップ設置角度を決定しています。
図1. 右変形性股関節症に対し, セメントレスTHAを行った症例.
図2. 高齢者に多い疾患である急速破壊型股関節症に対し, デュアルモビリティーカップおよびセメントステムを使用しTHAを行った症例.
人工股関節再置換術(Revision THA)
当科では再置換術において、前述の当科の方針のように骨回復を目指し、またその方に最適な人工股関節はどれかということを検討しています。再置換術においては、
- ゆるみがあるか。
 - 骨溶解などによる骨欠損はどの程度か、どの部位にあるか。
 - 大腿骨に菲薄化はないか。
 - 人工物の破損はないか。
 
などを考慮して最適と思われる手法、人工関節を選択しています。
必要な部位のみの再置換を行うことが多いです。
セメントレスを用いて再置換を行うことが多いですが、セメントレスで固定できないほど骨欠損が大きい場合はセメントを用いて行います。また必要に応じて補強金属を使用したり、他の方の骨(同種骨)を移植します。骨欠損が大きい場合、人工関節を設置する部位がない、将来的に更に骨がなくなってしまうことを危惧して、同種骨移植を行っています。これは初回の手術時に摘出し、本来処分する骨頭部分をいただき冷凍保存や加温処理を行った骨を使用させていただいております。当科で同種骨移植を行った患者さんの経過ですが、移植された骨は拒絶反応を起こすことなく徐々に自分の骨に置き換わっています。その他大きな合併症はこれまでありません。同種骨移植は倫理委員会の承認や設備の問題等があるためどの施設でも行える治療ではありません。しかし、今後ますます増加する再置換術に同種骨移植なしで全患者さんに理想的に行うのは無理があると考えます。また、万一、次の手術の必要が生じても、骨を回復させておくことが重要です。ゆるみがない人工関節は温存する場合が多く、特にセメントレスステムを無理に抜去しようとすると骨がバラバラに骨折してしまうことがあります。そのまま温存しても大部分の症例で骨欠損部の回復を認めています。
関節温存手術
人工物以外の手術は患者さんの病態や程度、年齢や骨の変形程度に応じて行う手術が異なります。主に50歳以下の方に行っています。いずれも人工関節にするにはもったいない、しかし、痛みが取れない場合に行っています。手術や術後経過が良好な場合、一生自分の関節で歩ける可能性があることが大きな利点です。
低侵襲の骨盤骨切り術について(図3a,b,c)
- 日本で最も多く行われている寛骨臼回転骨切り術(RAO)を昭和62年より行っており、25年以上の長期にわたる良好な成績を報告させていただきました。しかし、傷が30cmほどの大きなものであること、術後のベッド上安静期間が長く、入院期間も3ヶ月ほどかかっていたこと、筋力回復に時間を要したことなどより、現在は低侵襲骨切りを行っております。
 - 従来行ってきた骨盤の外側から内側へ骨を切るのではなく、内側から外側へ切る新しい方法を採用することにより、皮膚切開約7cm、ベッド上安静2-3日、術後2ヶ月で筋力が術前レベルに回復するという手術です。3次元テンプレートにより術前に計画を立て、これを術中にレントゲンを見ながら再現することで可能になった手術です。
 - 全国に先駆けて行い、学会で報告してから数多くの股関節専門医が手術見学に訪れています。手術指導の依頼もあり、全国に出向いています。この方法はテレビでも紹介されました。(変形性股関節症 体への負担の少ない手術|カラダ大辞典|KTKテレビ金沢 (tvkanazawa.co.jp))
 - 術後7週で杖なしの歩行を許可することが多く、6-8週程度で退院します。ご事情に応じ両松葉杖使用にて最短4週間で退院した方もいます。早期骨癒合、筋力回復が証明され、学会でも報告しています。
 

図3a;術前
寛骨臼形成不全による初期変形性股関節症 寛骨臼による大腿骨頭の被覆が少ない。
図3b;SPO術直後
前方から約7cmの傷で手術を行った。大腿骨頭を覆うように骨盤の骨が回転している。人工骨が移植されている。
図3c;術後1年
骨頭被覆が改善した。人工骨は自分の骨に置換されつつある。
- 大腿骨骨切り術について
若年者の大腿骨頭壊死症に対して関節温存するために行う手術が弯曲内反骨切り術と転子間回転骨切り術です。壊死の部位と範囲でどの手術法がよいか、また適応があるかどうか決定されます。 
臨床研究・セミナー
日本整形外科学会、日本股関節学会、日本人工関節学会、日本関節病学会などの全国学会や研究会、中部地区、北陸地区の学会や研究会、国際学会等で毎年数多くの臨床研究報告をしています。
主として、これまで行った人工股関節置換術や再置換術の成績、骨切り手術の成績、人工股関節手術手技の講演などを報告しています。
また、兼氏教授を中心に一般整形外科医、股関節外科医に対する教育セミナーや講演を数多く行っています。
(日本人工関節学会カダバーサージカルトレーニング担当理事兼手術指導講師、日本股関節学会骨切りセミナー担当理事など)
基礎研究
厚生労働省 難治性疾患克服研究事業 特発性大腿骨頭壊死症調査研究班会議、日本整形外科基礎学会、日本臨床バイオメカニクス学会、国際学会等で研究成果を報告しています。また、金沢工業大学や石川県工業試験場と連携し人工股関節の問題解決や最適化の共同研究を行っています。
基礎研究のテーマは主として、特発性大腿骨頭壊死症の病態解明と予防法の確立、人工股関節ステムや骨セメントの力学挙動の解析、生体適合性のよい人工関節作製のための基礎研究などです。




